Dental White Fillings at KRAV Esthetics Dental

At KRAV Esthetics Dental, we understand the importance of a healthy and confident smile. Our dental white fillings are a modern and aesthetically pleasing solution to restore teeth affected by cavities or minor damage. Designed to blend seamlessly with your natural teeth, white fillings provide both durability and beauty, ensuring your smile looks and feels its best.

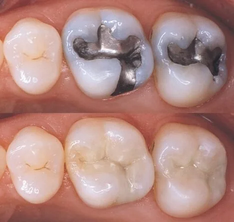
What Are Dental White Fillings?

White fillings, also known as composite fillings, are made from a tooth-colored resin material that bonds directly to your tooth. Unlike traditional metal fillings, these are virtually invisible, allowing for a more natural appearance. This makes them an ideal choice for patients who prioritize esthetics and want their dental work to remain discreet.

Online Booking

Benefits of White Fillings

  1. Natural Appearance: Matches the color of your teeth for a flawless look.

  2. Durable and Long-Lasting: Provides strong, reliable protection for everyday use.

  3. Minimally Invasive: Requires less removal of healthy tooth structure compared to metal fillings.

  4. Safe and Mercury-Free: A healthier alternative to amalgam fillings.

  5. Versatile: Can be used to repair chipped, cracked, or worn teeth in addition to treating cavities.

Frequently Asked Questions

How long do white fillings last?
With proper care, white fillings can last many years. Regular dental checkups and good oral hygiene are essential to maintaining their longevity.

Are white fillings more expensive than metal fillings?
While white fillings may cost slightly more upfront, their aesthetic benefits and minimal invasiveness make them a worthwhile investment.

Can white fillings be used for all types of cavities?
White fillings are versatile and suitable for most cavities. However, for larger restorations, Dr. Tran may recommend alternative solutions such as crowns or inlays.

Schedule Your Appointment Today!

Don’t let cavities or dental imperfections affect your confidence. Contact KRAV Esthetics Dental in Bedford, TX, to learn more about our dental white fillings and other cosmetic services. Let us help you achieve a healthy, radiant smile!

Call Us
Text Us